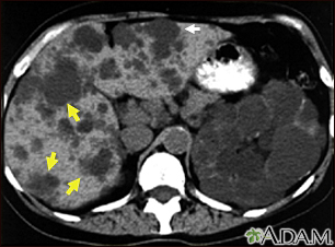
BACK TOTOP Browse A-ZSearchBrowse A-ZABCDEFGHIJKLMNOPQRSTUVWXYZ0-9 Kidney and liver cysts - CT scanBackKidney and liver cysts - CT scanThis abdominal CT scan shows cysts in the liver and kidneys (polycystic disease). The liver is the large organ on the left side of the screen. The dark spots in the liver are cysts. E-mail FormEmail ResultsName:Email address:Recipients Name:Recipients address:Message: Review Date: 8/28/2023 Reviewed By: Walead Latif, MD, Nephrologist and Clinical Associate Professor, Rutgers Medical School, Newark, NJ. Review provided by VeriMed Healthcare Network. Also reviewed by David C. Dugdale, MD, Medical Director, Brenda Conaway, Editorial Director, and the A.D.A.M. Editorial team. The information provided herein should not be used during any medical emergency or for the diagnosis or treatment of any medical condition. A licensed medical professional should be consulted for diagnosis and treatment of any and all medical conditions. Links to other sites are provided for information only -- they do not constitute endorsements of those other sites. No warranty of any kind, either expressed or implied, is made as to the accuracy, reliability, timeliness, or correctness of any translations made by a third-party service of the information provided herein into any other language. © 1997- A.D.A.M., a business unit of Ebix, Inc. Any duplication or distribution of the information contained herein is strictly prohibited. © 1997- All rights reserved. A.D.A.M. content is best viewed in IE9 or above, Firefox and Google Chrome browser.Content is best viewed in IE9 or above, Firefox and Google Chrome browser.
Kidney and liver cysts - CT scanBackKidney and liver cysts - CT scanThis abdominal CT scan shows cysts in the liver and kidneys (polycystic disease). The liver is the large organ on the left side of the screen. The dark spots in the liver are cysts. E-mail FormEmail ResultsName:Email address:Recipients Name:Recipients address:Message: