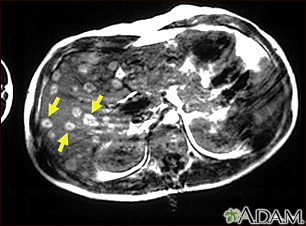
BACK TOTOP Browse A-ZSearchBrowse A-ZABCDEFGHIJKLMNOPQRSTUVWXYZ0-9 Melanoma of the liver - MRI scanBackMelanoma of the liver - MRI scanThis upper abdominal MRI scan shows multiple tumors in the liver which have spread (metastasized) from a malignant melanoma in an arm or leg. Note the light circular areas throughout the liver (seen mostly on the left side of the screen). E-mail FormEmail ResultsName:Email address:Recipients Name:Recipients address:Message: Review Date: 2/15/2024 Reviewed By: Elika Hoss, MD, Assistant Professor of Dermatology, Mayo Clinic, Scottsdale, AZ. Also reviewed by David C. Dugdale, MD, Medical Director, Brenda Conaway, Editorial Director, and the A.D.A.M. Editorial team. The information provided herein should not be used during any medical emergency or for the diagnosis or treatment of any medical condition. A licensed medical professional should be consulted for diagnosis and treatment of any and all medical conditions. Links to other sites are provided for information only -- they do not constitute endorsements of those other sites. No warranty of any kind, either expressed or implied, is made as to the accuracy, reliability, timeliness, or correctness of any translations made by a third-party service of the information provided herein into any other language. © 1997- A.D.A.M., a business unit of Ebix, Inc. Any duplication or distribution of the information contained herein is strictly prohibited. © 1997- All rights reserved. A.D.A.M. content is best viewed in IE9 or above, Firefox and Google Chrome browser.Content is best viewed in IE9 or above, Firefox and Google Chrome browser.
Melanoma of the liver - MRI scanBackMelanoma of the liver - MRI scanThis upper abdominal MRI scan shows multiple tumors in the liver which have spread (metastasized) from a malignant melanoma in an arm or leg. Note the light circular areas throughout the liver (seen mostly on the left side of the screen). E-mail FormEmail ResultsName:Email address:Recipients Name:Recipients address:Message: