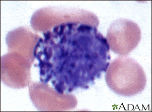
BACK TOTOP Browse A-ZSearchBrowse A-ZABCDEFGHIJKLMNOPQRSTUVWXYZ0-9 Basophil (close-up)BackBasophil (close-up)Basophils are a specific type of white blood cell. These cells are readily stained with basic dyes (this is where the name comes from). Note the dark grains inside the cellular fluid (cytoplasm) of this basophil. Basophils make up only a small portion of the number of white blood cells but are important parts of the body's immune response. They release histamine and other chemicals that act on the blood vessels when the immune response is triggered. E-mail FormEmail ResultsName:Email address:Recipients Name:Recipients address:Message: Review Date: 2/3/2025 Reviewed By: Warren Brenner, MD, Oncologist, Lynn Cancer Institute, Boca Raton, FL. Review provided by VeriMed Healthcare Network. Also reviewed by David C. Dugdale, MD, Medical Director, Brenda Conaway, Editorial Director, and the A.D.A.M. Editorial team. The information provided herein should not be used during any medical emergency or for the diagnosis or treatment of any medical condition. A licensed medical professional should be consulted for diagnosis and treatment of any and all medical conditions. Links to other sites are provided for information only -- they do not constitute endorsements of those other sites. No warranty of any kind, either expressed or implied, is made as to the accuracy, reliability, timeliness, or correctness of any translations made by a third-party service of the information provided herein into any other language. © 1997- A.D.A.M., a business unit of Ebix, Inc. Any duplication or distribution of the information contained herein is strictly prohibited. © 1997- All rights reserved. A.D.A.M. content is best viewed in IE9 or above, Firefox and Google Chrome browser.Content is best viewed in IE9 or above, Firefox and Google Chrome browser.
Basophil (close-up)BackBasophil (close-up)Basophils are a specific type of white blood cell. These cells are readily stained with basic dyes (this is where the name comes from). Note the dark grains inside the cellular fluid (cytoplasm) of this basophil. Basophils make up only a small portion of the number of white blood cells but are important parts of the body's immune response. They release histamine and other chemicals that act on the blood vessels when the immune response is triggered. E-mail FormEmail ResultsName:Email address:Recipients Name:Recipients address:Message: