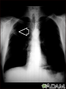
BACK TOTOP Browse A-ZSearchBrowse A-ZABCDEFGHIJKLMNOPQRSTUVWXYZ0-9 Lung mass, right upper lung - chest x-rayBackLung mass, right upper lung - chest x-rayThis picture is a chest x-ray of a person with a lung mass. This is a front view, where the lungs are the two dark areas and the heart and other structures are visible in the middle of the chest. The x-ray shows a mass in the right upper lung, indicated with the arrow (seen on the left side of the picture). E-mail FormEmail ResultsName:Email address:Recipients Name:Recipients address:Message: Review Date: 8/19/2024 Reviewed By: Allen J. Blaivas, DO, Division of Pulmonary, Critical Care, and Sleep Medicine, VA New Jersey Health Care System, Clinical Assistant Professor, Rutgers New Jersey Medical School, East Orange, NJ. Review provided by VeriMed Healthcare Network. Also reviewed by David C. Dugdale, MD, Medical Director, Brenda Conaway, Editorial Director, and the A.D.A.M. Editorial team. The information provided herein should not be used during any medical emergency or for the diagnosis or treatment of any medical condition. A licensed medical professional should be consulted for diagnosis and treatment of any and all medical conditions. Links to other sites are provided for information only -- they do not constitute endorsements of those other sites. No warranty of any kind, either expressed or implied, is made as to the accuracy, reliability, timeliness, or correctness of any translations made by a third-party service of the information provided herein into any other language. © 1997- A.D.A.M., a business unit of Ebix, Inc. Any duplication or distribution of the information contained herein is strictly prohibited. © 1997- All rights reserved. A.D.A.M. content is best viewed in IE9 or above, Firefox and Google Chrome browser.Content is best viewed in IE9 or above, Firefox and Google Chrome browser.
Lung mass, right upper lung - chest x-rayBackLung mass, right upper lung - chest x-rayThis picture is a chest x-ray of a person with a lung mass. This is a front view, where the lungs are the two dark areas and the heart and other structures are visible in the middle of the chest. The x-ray shows a mass in the right upper lung, indicated with the arrow (seen on the left side of the picture). E-mail FormEmail ResultsName:Email address:Recipients Name:Recipients address:Message: