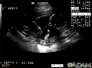
BACK TOTOP Browse A-ZSearchBrowse A-ZABCDEFGHIJKLMNOPQRSTUVWXYZ0-9 Ultrasound, normal fetus - arm and legsBackUltrasound, normal fetus - arm and legsThis is a normal fetal ultrasound performed at 17 weeks gestation. This is the type of image pregnant mothers may see on the ultrasound screen, or that the technician may print. It shows the head on the right, and the cross hair pointing to the left ankle. The left leg and arm are visible in the center of the screen. E-mail FormEmail ResultsName:Email address:Recipients Name:Recipients address:Message: Review Date: 10/15/2024 Reviewed By: John D. Jacobson, MD, Professor Emeritus, Department of Obstetrics and Gynecology, Loma Linda University School of Medicine, Loma Linda, CA. Also reviewed by David C. Dugdale, MD, Medical Director, Brenda Conaway, Editorial Director, and the A.D.A.M. Editorial team. The information provided herein should not be used during any medical emergency or for the diagnosis or treatment of any medical condition. A licensed medical professional should be consulted for diagnosis and treatment of any and all medical conditions. Links to other sites are provided for information only -- they do not constitute endorsements of those other sites. No warranty of any kind, either expressed or implied, is made as to the accuracy, reliability, timeliness, or correctness of any translations made by a third-party service of the information provided herein into any other language. © 1997- A.D.A.M., a business unit of Ebix, Inc. Any duplication or distribution of the information contained herein is strictly prohibited. © 1997- All rights reserved. A.D.A.M. content is best viewed in IE9 or above, Firefox and Google Chrome browser.Content is best viewed in IE9 or above, Firefox and Google Chrome browser.
Ultrasound, normal fetus - arm and legsBackUltrasound, normal fetus - arm and legsThis is a normal fetal ultrasound performed at 17 weeks gestation. This is the type of image pregnant mothers may see on the ultrasound screen, or that the technician may print. It shows the head on the right, and the cross hair pointing to the left ankle. The left leg and arm are visible in the center of the screen. E-mail FormEmail ResultsName:Email address:Recipients Name:Recipients address:Message: