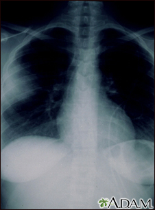
BACK TOTOP Browse A-ZSearchBrowse A-ZABCDEFGHIJKLMNOPQRSTUVWXYZ0-9 Aspergillosis - chest x-rayBackAspergillosis - chest x-rayAspergillosis is a fungal infection. The fungus invades and destroys tissue. This type of infection usually occurs in immunocompromised individuals. Here, a chest x-ray shows that the fungus has invaded the lung tissue. The lungs are usually seen as black areas on an x-ray. The cloudiness on the left side of this x-ray is caused by the fungus. E-mail FormEmail ResultsName:Email address:Recipients Name:Recipients address:Message: Review Date: 8/29/2024 Reviewed By: Jatin M. Vyas, MD, PhD, Roy and Diana Vagelos Professor in Medicine, Columbia University Vagelos College of Physicians and Surgeons, Division of Infectious Diseases, Department of Medicine, New York, NY. Also reviewed by David C. Dugdale, MD, Medical Director, Brenda Conaway, Editorial Director, and the A.D.A.M. Editorial team. The information provided herein should not be used during any medical emergency or for the diagnosis or treatment of any medical condition. A licensed medical professional should be consulted for diagnosis and treatment of any and all medical conditions. Links to other sites are provided for information only -- they do not constitute endorsements of those other sites. No warranty of any kind, either expressed or implied, is made as to the accuracy, reliability, timeliness, or correctness of any translations made by a third-party service of the information provided herein into any other language. © 1997- A.D.A.M., a business unit of Ebix, Inc. Any duplication or distribution of the information contained herein is strictly prohibited. © 1997- All rights reserved. A.D.A.M. content is best viewed in IE9 or above, Firefox and Google Chrome browser.Content is best viewed in IE9 or above, Firefox and Google Chrome browser.
Aspergillosis - chest x-rayBackAspergillosis - chest x-rayAspergillosis is a fungal infection. The fungus invades and destroys tissue. This type of infection usually occurs in immunocompromised individuals. Here, a chest x-ray shows that the fungus has invaded the lung tissue. The lungs are usually seen as black areas on an x-ray. The cloudiness on the left side of this x-ray is caused by the fungus. E-mail FormEmail ResultsName:Email address:Recipients Name:Recipients address:Message: